研究内容
2025年9月23日
大腸癌トランスレーショナルリサーチグループ 渋谷雅常 丹田秀樹 月田智也
線維化と腫瘍浸潤Tリンパ球による腫瘍免疫制御の研究
腫瘍に対する自己免疫応答の重要性が明らかとなり、腫瘍免疫研究は世界的に注目されています。腫瘍浸潤Tリンパ球(TILs; tumor infiltrating lymphocytes)は、腫瘍免疫反応を反映する指標として評価され、多くの癌種で数が多いほど予後が良好であることが報告されています。大腸癌においても同様ですが、その数がどのように規定されるのかは未解明の部分が多く、重要な研究課題となっています。 私たちは、大腸癌切除標本の解析から「腫瘍内に線維化が多いほどTILsが少ない」ことを発見し報告しました(Wang, Shibutani, et al. PLoS One, 2021)。現在は基礎研究において線維化を伴う腫瘍微小環境の解明に取り組み、将来的には線維化の制御を通じてTILs増加や腫瘍免疫賦活につなげることを目指しています。 
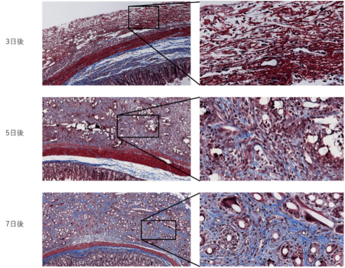
PGAシートによる消化管手術の安全性向上
大腸手術の重大な合併症のひとつに縫合不全があります。これを防ぐことは消化管手術においてとても重要です。PGAシートはコラーゲンによる線維化を促進し、物理的な耐圧性を高める素材として肺や膵臓領域で用いられていますが、消化管での報告は限られていました。私たちは、ラットを用いた基礎実験で、PGAシートが消化管壁に線維化を伴うバリアを形成し、縫合部の耐圧能を有意に高めることを明らかにしました。さらに、実臨床においても左側大腸癌手術でのPGAシート併用DST吻合では縫合不全発生率が大きく減る可能性があることが分かりました。 この成果は Scientific Reports(Tanda, Shibutani, et al. 2024) に掲載されています。
ラットの盲腸に貼付したPGAシートの組織像
経時的に線維化領域(青色部分)が増加していることが確認できます
大腸癌薬物療法における動的腫瘍微小環境解析と後方治療最適化の新規戦略
切除不能進行再発大腸癌(mCRC)の薬物療法において、フッ化ピリミジン、オキサリプラチン、イリノテカンを含むフロントライン治療不応後の後方治療(FTD/TPI+Bevacizumab、レゴラフェニブ等)の選択には、確立されたバイオマーカーが存在しません。そのため、薬剤選択は個々の主治医の経験則に依存しているのが臨床現場の実情です。 がん治療の効果が、腫瘍細胞のみならず腫瘍微小環境(TME)にも強く影響されることは周知の事実です。我々は特に、フロントライン治療によって誘導されるTMEの動的な変化が、後方治療の効果を規定する重要な因子ではないかという仮説を立てました。本研究では患者腫瘍移植モデル(Patient-derived xenograft, PDXモデル)を用いて、フロントライン治療後のTMEを再現し、評価します。その後、後方治療を行うことでTMEにどのような変化が起きるのか、またフロントライン後のTMEの状況によって治療効果にどのような影響があるのかを評価することで、TMEの動態に基づいた後方治療薬の個別化・最適化戦略を構築し、mCRC患者の予後改善に貢献することを目指します。