【研究部門】 脳血管障害
脳血管障害
1. 神経血管ユニットNeurovascular Unit研究
脳虚血と微小循環障害についての研究を行っています。生理的条件下には脳血流は代謝とカップリングしていることが知られています。
これまで、その機序として、ニューロン、アストロサイト、血管からなる神経血管ユニットneurovascular unitの役割を明らかにしてきました。
図. 脳代謝と血流のカップリングについてのproximal integration model (JCBFMetab. 2012)
脳梗塞の周辺部penumbraでは微小循環障害が生じて、虚血、ラジカル産生、血液脳関門の破綻、炎症などが生じることが明らかとなっています。
また血管新生や側副路の発達がアテローム血栓症の基礎病態として重要であることも解明してきました。血管内皮細胞の障害、再生、修復がアテロームの安定化に重要であることも報告しています。
図. 境界領域梗塞モデル。内頚動脈から投与した血栓(蛍光ラベル)は境界領域に閉塞し洗い出しされずにとどまる。
2. アルツハイマー病における血管周囲腔を介したアミロイド搬出
アルツハイマー病ではニューロンから産生されたアミロイドβが血管周囲腔を介した拡散現象で、くも膜下腔に排出されることを動物モデルで示しました。
アミロイドβの血管壁への沈着は脳アミロイド血管症として知られており、脳出血の原因、抗アミロイド抗体薬による治療の副作用(ARIA)の発現に関与しています。
3. 機械的血栓回収療法の効果とNo-reflow現象
脳梗塞急性期における血栓溶解療法(rt-PA療法)、機械的血栓回収療法の発達は劇的に脳卒中の予後を改善しました。

図. 管撮影:治療前(左)は血管が途絶しているが、治療後(右)では途絶していたところから血管が描出されるようになった
一方で、時間がたって場合には再開通させても末梢の血流が改善しないNo-reflow現象が知られています。
当研究室では、再灌流障害の病態を研究し、治療薬の開発に携わっています。
4. 稀な塞栓原の検索
比較的稀な血栓塞栓症として、Calcified Amorphous Tumor(下図、Osaka City Medical J 2023)、鎖骨下動脈術後盲端、肺動静脈瘻などを報告しています。
5. 癌関連脳卒中Cancer Associated Stroke CAS (Trousseau症候群)
全身性に癌があると凝固、線溶系を活性化し、多発する小梗塞巣をきたすことが知られています。また非細菌性血栓性心内膜炎NBTEで形成された血栓が脳動脈を閉塞することもあります。当科ではCASの病態と治療法について研究しています。
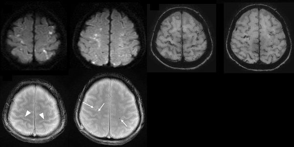
6. 血管炎と脳梗塞、脳出血、限局性くも膜下出血
好酸球性肉芽腫性多発血管炎は、ACAとMCAの境界領域に散在する脳梗塞をきたし、その後数日して脳表微小出血およびくも膜下出血をきたすことを報告しています。炎症、白血球浸潤による微小循環障害、内皮損傷による微小出血と限局性くも膜下出血をきたすと考えられます(Int Med 2021)。
