【研究部門】 重症筋無力症、末梢神経・筋

重症筋無力症、末梢神経・筋

1. 炎症性筋疾患研究

 慶應義塾大学神経内科鈴木重明先生にご協力いただき、各種自己抗体と筋炎のサブタイプの臨床像、治療、予後について研究、報告してきました。特に多発筋炎/皮膚筋炎と筋炎関連自己抗体との関連についての検討(神経学会総会2019)、抗OJ抗体陽性筋炎の臨床像(老年病学会2020)などの報告を行いました。

炎症性筋疾患研究

図.炎症性筋疾患と抗体




2. 遺伝性筋疾患研究

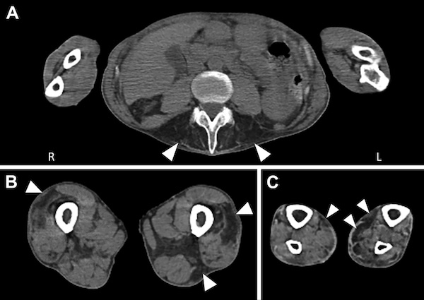
 Four and a half LIM domains 1 (FHL1)遺伝子変異によるミオパチーのため四肢筋力低下の自覚なく呼吸不全を来した兄弟の症例を報告しています(臨床医学2022)。

図. 骨格筋CT画像では、傍脊柱筋(A)、外側広筋、大内転筋、大腿二頭筋長頭(B)、腓腹筋内側頭(C)に脂肪変性を伴う筋萎縮を認める。




3. 重症筋無力症に対する生物学的製剤の効果

 重症筋無力症の増悪を抑制する薬物治療として、従来の経口ステロイド、免疫抑制薬に加え、遺伝子組換え製剤の抗補体(C5)モノクローナル抗体エクリズマブおよびラブリズマブ、遺伝子組換え製剤の抗胎児性Fc受容体抗体フラグメント製剤エフガルチギモドアルファおよびロザノリキシズマブなどが臨床使用可能となっており、実臨床における効果を研究しています(第35回日本神経免疫学会学術集会2023)。




4. 難治性CIDP研究

 末梢神経疾患のうち多発脳神経麻痺を伴うCIDP(臨床神経生理学会2020)、中枢末梢連合脱髄疾患CCPDをきたす抗Neurofascin抗体陽性CIDP、抗MAG抗体陽性ニューロパチー、などの難治性CIDPの病態、治療を研究、報告しています(第40回日本神経治療学会学術集会2022)。




5. 免疫チェックポイント阻害薬によるirAE研究

 免疫チェックポイント阻害薬は抗がん剤として極めて効果的である反面、重症筋無力症はじめ、筋炎、末梢神経炎、多発性硬化症、脳炎など多彩な自己免疫性神経疾患を引き起こすことが知られており、機序、病態について研究しています(日本神経学会第118回近畿地方会2021)。

図. irAEの機序.
A.腫瘍細胞とエピトープ共有をしている心筋や骨格筋に交差反応を起こす。
B.腫瘍と非腫瘍細胞が大量に細胞死した結果、抗原提示細胞が自己抗原に対して反応を起こす。
C.直接オフターゲット作用を示す。
D.既存の無症候性自己免疫疾患を賦活する。