最新の研究成果

出血性肺炎の治療薬選択の拡大に向けて ~新規抗菌薬セフィデロコルの効果を検証~

2026年3月19日

  • 医学研究科
  • プレスリリース

発表者

大阪公立大学大学院医学研究科 臨床感染制御学 井本 和紀講師、山田 康一客員准教授、掛屋 弘教授、細菌学 金子 幸弘教授

概要

本研究では、多剤耐性菌である Stenotrophomonas maltophiliaステノトロホモナス・マルトフィリア、以下S. maltophilia)が引き起こす重症の出血性肺炎を起こしたマウスに、新しい抗菌薬セフィデロコル(CFDC)、または従来使用されているレボフロキサシン(LVFX)を投与し、それぞれが及ぼす効果を検証しました。その結果、両抗菌薬とも生存率を改善する効果が認められました。

本研究成果は、2026年1月30日に国際学術誌「Antimicrobial Agents and Chemotherapy」にオンライン掲載されました。

ポイント

  1. S. maltophilia出血性肺炎マウスに、新規抗菌薬CFDC または既存抗菌薬LVFX を投与し、効果を比較。
  2. 両抗菌薬とも生存率が改善し、心臓血や肺における細菌数、肺の出血が減少した。これらの効果はLVFXでより顕著に観察され、薬剤が肺へ届きやすいことが一つの原因だと考えられた。
  3. 出血性肺炎の治療には、感染が起きている臓器や薬剤耐性を考慮し、状況に応じた治療薬の選択が重要である。

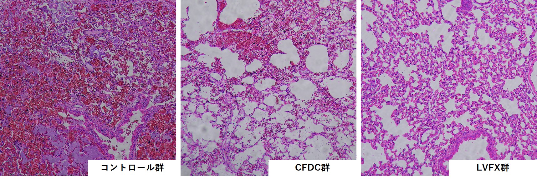
pr202603_imoto01 出血性肺炎マウスの肺組織。治療薬として生理食塩水を投与したコントロール群は出血が多く見られるが、CFDC群およびLVFX群は出血が軽減している。

<研究者のコメント>

Stenotrophomonas maltophilia のような人に感染しにくい細菌の場合、標準的な治療法が十分に確立されていないこともあります。そのため、一つ一つの研究成果が臨床現場に与える影響は決して小さくありません。今後も臨床に還元できるデータを積み重ねていきたいと考えています。

pr202603_imoto02井本 和紀講師

研究の背景

細菌Stenotrophomonas maltophiliaS. maltophilia)は、ヒトの免疫が弱っている場合に、出血性肺炎という命に関わる重症の肺炎を起こします。しかし、この細菌の治療薬は少なく、治療が非常に難しいことが知られています。日本では2023年に承認された新しい抗菌薬であるセフィデロコル(CFDC)は、S. maltophiliaに対して実験では有効だと証明されていますが、出血性肺炎に対する効果はまだ分かっていないため、有効性の検証が求められていました。

研究の内容

まず、マウスに免疫を抑える薬剤を与え、気管からS. maltophiliaを感染させて出血性肺炎を発症させました。そして、新しい治療薬であるCFDCを投与する群と、従来使用されている治療薬のレボフロキサシン(LVFX)を投与する群に分け、生存率や心臓血・肺における細菌の数、肺のダメージを観察しました。また、血液や肺の中における治療薬の濃度を測定しました。

その結果、CFDCまたはLVFXを投与することで生存率が改善し、心臓血や肺における細菌の数は減少しました。また、肺のダメージは顕微鏡による観察で出血が減少していることが分かりました。これらの効果はLVFXでより顕著に観察され、その一因は、細菌が主に感染する臓器である肺に、LVFXの方が届きやすいからだと推察されました。一方、LVFXに抵抗性を示す耐性菌が出現しやすいことが報告されているため、S. maltophiliaの治療には耐性を考慮してCFDCを用いるなど、状況に応じた治療薬選択が重要になると考えられます。

期待される効果・今後の展開

S. maltophilia出血性肺炎は発症確率が低いこともあり、実際にヒトで抗菌薬の有効性を評価することは困難です。しかし今回、動物モデルを用いた実験で抗菌薬CFDCの有効性が証明できたことは、さらなる研究につながっていく可能性があります。今後は、さまざまな治療薬の組み合わせなどの効果についても検討を行っていく予定です。

資金情報

本研究は、塩野義製薬株式会社からの薬剤提供・助言を受けて行いました。また、日本化学療法学会 創立70周年記念研究支援プログラム、日本学術振興会・科学研究費助成事業(JP24K11659)、武田科学振興財団(2024047731)、杜の都医学振興財団(2021-01-02)からの助成を受けて実施しました。

用語解説

Stenotrophomonas maltophilia細菌の一種で、免疫が低下している場合にさまざまな感染症を起こす。

掲載誌情報

【発表雑誌】 Antimicrobial Agents and Chemotherapy
【論文名】 Efficacy of cefiderocol and levofloxacin against Stenotrophomonas maltophilia in a hemorrhagic pneumonia mouse model
【著者】 Waki Imoto, Junko Abe, Norihiro Sakurai, Kengo Kawamoto, Koichi Yamada, Yukihiro Kaneko, Hiroshi Kakeya

【掲載URL】 https://doi.org/10.1128/aac.00944-25

研究内容に関する問い合わせ先

大阪公立大学大学院医学研究科 臨床感染制御学
講師 井本 和紀(いもと わき)
TEL:06-6645-3784
E-mail:wakiimoto[at]omu.ac.jp
※[at]を@に変更してください。

報道に関する問い合わせ先

大阪公立大学 広報課
担当:谷
TEL:06-6967-1834
E-mail:koho-list[at]ml.omu.ac.jp
※[at]を@に変更してください。

該当するSDGs

  • SDGs03